Исследования в отношении опасности вируса для человека
Не все ученые так оптимистичны, проводились различные исследования, которые имеют тревожные выводы о влиянии на человека. Несмотря на отсутствие заболеваний вирусом у людей, существуют документально подтвержденные реакции выработки антител против него. Это свидетельствует о попадании, и попытке заражения организма.
Ученые провели исследования и сообщают об открытии новых последовательностей вирусного происхождения в крови человека. Они напрямую связаны с асфаровирусами (единственный представитель группы АЧС).
Это указывает на большее генетическое разнообразие вируса, чем было известно ранее. Также отмечается, что никто не проводил массовые исследования на поиск АЧС вируса у людей, так как симптоматики просто нет. Несмотря на отсутствие явных симптомов, это не указывает на полное здоровье человека и отсутствие возможности заражения.
Основное действие бактерий носит иммунный характер, именно эта система разрушается у свиней при болезни. Тропические страны, основной источник вируса, сегодня сталкиваются с множеством лихорадок. В 40% случаев найти возбудителя лихорадки, в частности денге, не удается.
В Никарагуа было проведено исследование на 123 пациентах, которым не могли установить этиологическую составляющую вируса. Так удалось у 37% из этих пациентов определить источник болезни, у 6 из них были различные вирусные возбудители, в том числе АЧС.
Это указывает на то, что новейшая методика диагностики позволяет определить этиологию болезни АЧС. Самое главное, что риск заболевания АЧС все же существует, но определить его достаточно сложно.
Чума способна заразить человека и даже привести к его летальному исходу, но это только единичные случаи. В целом вирус безопасен для человека, но он быстро мутирует.
Также тревожные результаты тропических исследований (проводились и другие), указывает на риск заболевания для людей. В общем вирус АЧС несмотря на свою длительную историю еще плохо изучен и поиск эффективного средства впереди.
Африканская чума свиней: признаки заболевания с фото
При исследованиях в лабораториях вирус свиной африканской чумы показал следующие характеристики:
- время инкубационного развития составило от 5 до 20 суток;
- было выявлено несколько периодов течения чумы: сверхострый, острый, подострый, хронический.
Практические наблюдения показывают, что в условиях реальности период инкубации чумы растягивается до 21 – 28 дней, но при этом больное животное не имеет существенных отличий от здоровой.
Симптоматика АЧС зависит от периода протекания болезни, а тот связан с подвидом возбудителя инфекции.
Сверхострый
Относится к самым коварным формам болезни. Нет клинических признаков, у свиней отсутствует недомогание. У животных нет кашля. Просто внезапная, моментальная гибель. Со слов владельцев, это выглядит следующим образом: животное стоит, ест, упало, умерло.
Острый
Инкубационное течение занимает от одного дня до семи, затем можно заметить следующие признаки:
- внезапно повышается температура до 42;
- наличие гнойных белых выделений, обладающих резким запахом из носа, ушей, глаз;
- животное выглядит слабым, безразличным и угнетенным;
- паралич задних конечностей;
- наличие рвоты;
- расстройство пищеварения с кровавыми примесями, сменяется запором;
- тонкие кожные участки за ушами, в области живота, под нижней челюстью покрываются кровоподтеками и синяками черного цвета.

Симптомы африканской чумы у свиней
У многих животных отмечается наличие пневмонии на ранней стадии АЧС, нередко основное заболевание маскируется под воспаление легких. У супоросных маток наблюдаются аборты.
Максимальный срок течения заболевания 7 суток. Перед летальным исходом у заболевшего животного резко понижается температура, наступает состояние комы, затем агония и смерть.
Подострый
Данный вид характеризуется длительностью болезни до 30 дней. Точного определения инкубационного периода не существует. У зараженной свиньи можно наблюдать следующую симптоматику:
- температура то понижается, то повышается;
- животное выглядит угнетенным;
- появляется лихорадка;
- нарушается сердечная работа.
Стоит заметить, что проявления сходи с пневмонией, именно поэтому заводчики начинают лечить животных именно от воспаления легких или лихорадки, даже не подозревая, что это африканская свиная чума. Ровно до того момента пока не происходит массовая гибель поголовья.

Признаки африканской чумы у свиней
Конкретной данный этап характеризуется неожиданной смертностью, к которой приводит сердечная недостаточность или разрыв сердца.
Хронический
На сегодняшний момент нет четкого определения длительности инкубационного периода, да и сам недуг практически не поддается диагностированию. Хроническая форма способна маскироваться под целую коллекцию иных инфекционных недугов бактериального типа.
Можно наблюдать следующие симптомы:
- затрудненное дыхание;
- иногда лихорадка и небольшой кашель;
- нарушается работа сердца;
- появление незаживающих язв и ран на кожных покровах;
- свиньи начинают отставать в наборе массы, а у молодняка отмечается задержка в развитии;
- воспаляются сухожилия, что приводит к быстрому и прогрессирующему артриту.

Симптоматика африканской чумы у свиней
Уже из симптоматики видно, что АЧС кроется за болезнями, которым легко поставить диагноз. Именно здесь и таится главная угроза ведь владельцы и зоотехники приступают к лечению заболеваний, которые находятся на виду. Свиньи проходят курсы против воспалительных процессов, проблем с сердцем, артритов и т.д. Но даже проверенные и действенные медикаменты оказываются бессильными перед напастью. Именно в этот момент нужно начать проведение тестов способных выявить свиную чуму.
Первые симптомы и признаки
Время, проходящее от проникновения эндемии в тело поросенка до появления первых признаков болезни у животного, длится от 5 суток до двух недель.

Инфекция выражается в четырех формах, каждая из которых имеет свои отличительные признаки. Главную угрозу протекания некоторых направлений болезни составляет тот факт, что она маскируется под другие заболевания.


Острая форма
Латентное время короткое: от суток до недели.

В дальнейшем показатели состояния здоровья свиньи, следующие:
- стрелка термометра поднимается выше отметки в 40o;
- из пятачка, глаз и ушей выделяется гной беловатого цвета с сильным и неприятным смрадом;
- животное относится ко всему безразлично, по внешнему виду видно, что оно ослаблено;
- дыхание учащено и затруднено;
- задние ноги парализованы;
- содержимое желудка рефлекторно выходит наружу;
- стул неустойчив: задержку стула меняют кровяные поносы;
- на тонкой шкурке возникают кровоподтеки и синяки.

Если острой формой вируса инфецировалась беременная свиноматка, у нее случается выкидыш.

Сверхострая форма
Коварность этой формы заключается в полном отсутствии клинической картины. Свинки и кабанчики выглядят здоровыми, умирают неожиданно и одномоментно.

Подострая форма
Форма маскируется под пневмонию или лихорадку. Животное выглядит уныло, его лихорадит от повышенной температуры тела, появляются признаки сердечной недостаточности.

Лечение безрезультатно и лишь когда возникает массовый падеж стада, появляются догадки о том, что стадо пострадало от АЧС.

У свиньи нарушается целостность стенок сердца и развивается сердечная недостаточность, что приводит ее к смерти.

Хроническая форма
Инкубационный период не установлен, возбудитель африканской чумы ловко прячется, маскируясь под инфекции, которые можно легко диагностировать.

Признаки хронической формы:
- тяжелое дыхание;
- иногда появляется кашель и животное лихорадит;
- нарушается работа сердечно-сосудистой системы;
- на теле появляются незаживающие раны и язвы;
- свинка не набирает вес, а маленький поросенок имеет явные признаки отставания в развитии;
- проявляются признаки артрита;
- у свиней женского пол развивается тендовагинит.

Если лечение, назначение зоотехником или ветеринаром, не приносит положительных результатов, необходимо повести лабораторные тесты на африканскую чуму. Иначе тайна гибели всего поголовья будет раскрыта лишь после его смерти.


Как происходит заражение?
Есть несколько вариантов распространения заболевания и способов проникновения в свиной организм:
- во время контакта с носителем;
- трансмиссивный путь;
- с помощью механического переносчика.

Пути передачи африканской чумы
При контакте зараженных со здоровыми животными возбудитель переходит по слизистым оболочкам, может проникать через кожные повреждения, находится в продуктах жизнедеятельности животных, быть в общих емкостях для корма или воды.
Насекомые передают заболевание трансмиссивным способом, причем это касается не только АЧС. Укус клеща, слепня, зоофильной мухи или блохи может являться причиной недуга. Но наибольшую опасность представляет нападение клещей.
К механическим переносчикам относят мелких грызунов, мышей, и крыс. Заболевание может распространяться через кошек, собак, домашнюю птицу гусей или кур. Дикие пернатые несут явную угрозу для скота, так от одной особи может произойти заражение целого свиного хозяйства. Нельзя исключить и человека из ряда опасных распространителей. Он вполне может переносить враждебный геном если посетил неблагополучное по заболеванию место.
Лечение вируса, карантин
На современном этапе изучения вируса действенных медикаментов, сумеющих оказать помощь и вылечить заболевший экземпляр не создано.
Процесс тормозит постоянная мутация вируса, сейчас свиньи болеют без выраженной симптоматики и заболевание перерастает в хроническую форму. На первоначальном этапе появления инфекции, смертность животных была стопроцентной.
Лечение заболевших животных запрещено, они подлежат ликвидации в срочном путем сжигания, поэтому даже попытаться их вылечить нет никакой возможности.
Разработки вакцины против вируса – приоритетное направление вирусологии, исследования контролируются государством.
Но пока нет позитивного результата проводимых исследований, наибольший эффект приносят меры профилактики.
Как происходит заражение свиней
Вирус АЧС проникает в организм животных аэрогенным (воздушно-капельным), алиментарным путем, через поврежденные слизистые, кожные покровы, конъюнктиву. Заражение возможно через обсемененный возбудителями инвентарь, предметы обихода, которые были использованы в уходе за больными свинками,. некачественные комбикорма.. Нне прошедшие термическую обработку продукты питания, которые скармливают животным, также могут стать причиной инфицирования вирусом АЧС.
Источником распространения смертельно опасной инфекции являются инфицированные больные особи, животные во время инкубационного периода, переболевшие свиньи. Промежуточными разносчиками болезни можно назвать грызунов, диких птиц, кровососущих насекомых.
Проникнув организм поросенка, взрослой особи, возбудитель поражает макрофаги., что приводит к активации транскрипции свободных генов для ответной реакции организма. Ллокализуется вирус АЧС в эндотелиьальных клеточных структурах кровеносных, лимфатических сосудах, в мононуклеарных фагоцитах, миелоидных, лимфоидных тканях органов иммунной системы.
Вирус, по мере увеличения его количества в организме больных животных, оказывает цитопатическое воздействие на лимфоциты, эндотелиальные клетки. Со временем развивается некроз сосудистых стенок, увеличивается порозность сосудов. Репродукция вируса сопровождается цитопатическим действием на лимфоциты, макрофаги и эндотелиальные клетки.
Вследствие фибриноидного некроза эндотелия кровеносных сосудов резко повышается проницаемость стенок сосудов, появляются венозная и воспалительная гиперемия, тромбозы, лейкопения.
НаВ серозных, на слизистых оболочках, коже, в паренхиматозных органах после вскрытия трупов животных заметны многочисленные кровоизлияния. В лимфоузлах, костном мозге, селезенке образуются обширные некрозы миелоидных тканей. У больных свинок снижается иммунный потенциал, ослабевает иммунная защита, снижается естественная резистентность организма. Болезнь в 100% случаев заканчивается летальным исходом.
Заражение свиней
Вариантов заражения свиней достаточно много, но свиноводы должны знать их все:
- контакт с заболевшими особями;
- применение предметов и инструментов для ухода за больными или павшими животными при работе со здоровым поголовьем;
- зараженная вода и пища;
- контакт с мертвыми тушами и отходами зараженных свиней;
- использование зерновых смесей и комбикорма, не подверженных термообработке.
Промежуточными распространителями заболевания являются люди, птицы, насекомые, некоторые животные (особенно грызуны).
По сей день не существует действенной вакцины против африканской чумы свиней и эффективных лекарств для ее лечения. Для людей болезнь Монтгомери неопасна, но употреблять свинину нужно после качественной термообработки (жарка, варка), а при копчении вирус не погибает.
Важно с ответственностью подходить к выполнению требований о полном истреблении заболевших свиней, так как по ряду причин переносчиком АЧС могут стать люди. Вспышка чумы наносит серьезный ущерб экономике, поэтому в Беларуси бездействие или действия, приводящие к возникновению и распространению вируса, влекут за собой ответственность, в том числе уголовную
Этиология, распространение
Впервые АЧС диагностировали у свиней в начале XX20-го века в Южной Африке. Болезнь была отнесена к природно-очаговым экзотическим инфекциям, которые часто диагностировали у популяций культуральных и диких свиней на территории Африки. Позднее вспышки заболевания отмечали в Португалии, странах Центральной, Южной Америки, Испании, а затем и в других странах мира. В РФ, странах СНГ АЧсС впервые диагностировали в 2008 г.
Возбудителем инфекционного заболевания является ДНК-содержащий вирус семейства Asfarviridae, рода Asfivirus. Существует два типа возбудителя. а именно: тип А, В и подвид С. Вирус африканской чумы свиней проявляет устойчивость к высоким температурам, различным факторам внешней среды. Не поддается заморозке, высыханию, гниению. Сохраняет вирулентность в средах при рН от 2 до 13. При температуре 5–-7 градусов может сохраняться до шести-семи 6–7 лет при благоприятных условиях. В трупах животных —– от 15 суток до 188-ти недель. В фекалиях вирус АЧС сохраняется до 160 суток. Не устойчив к повышенным температурам.
рекомендуемые статьи:
При 55-–60-ти градусах, термических обработках под действием высоких температур вирус инактивируется за 10–-12 минут.

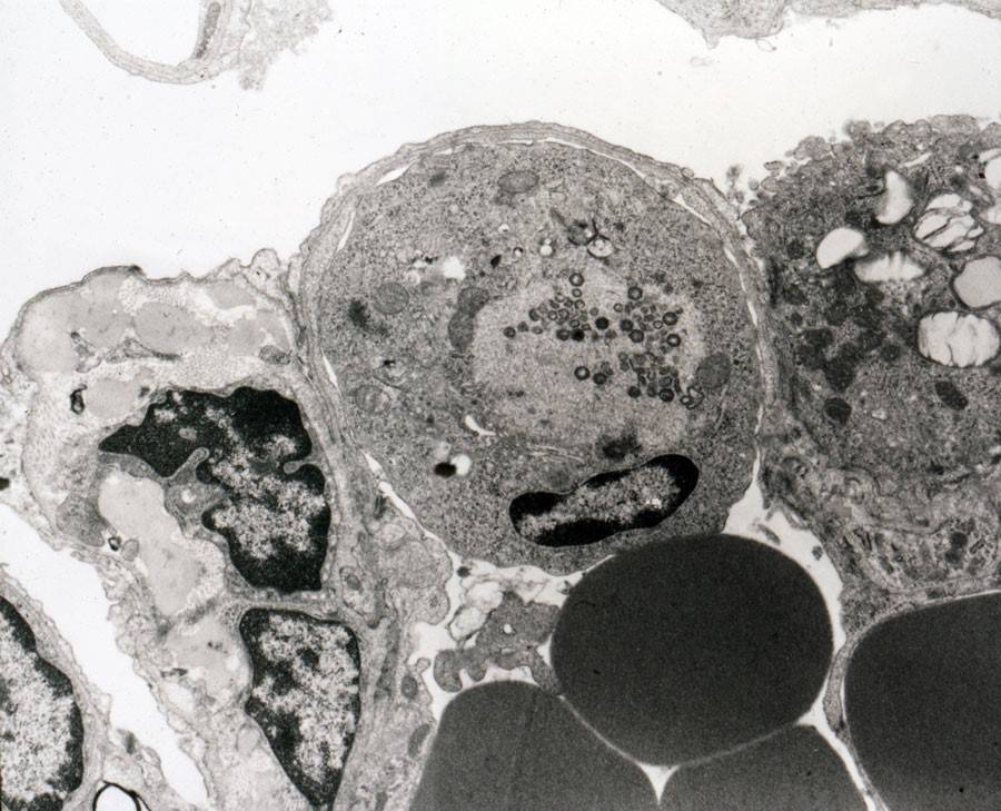
Макрофаг, пораженный вирусом африканской чумы свиней
Основной особенностью данной инфекции является то, что болезнь может проявляться различной симптоматикой, в зависимости от того, каким типом вируса заражено животное.
Заражению вирусом африканской чумойы подвержены все возрастные группы домашних, диких свиней независимо от пола, породной принадлежности.
Важно! Стоит отметить и то, что вирус АЧС практически невозможно полностью уничтожить в природе. К тому же, на сегодняшний день не разработана профилактическая вакцина от вируса африканской чумы
Нет эффективных лекарств, которые можно использовать в борьбе с данным недугом.
Учитывая многочисленные статистические данные, в неблагоприятных по АЧС государствах Америки и Европы чаще всего эпизоотические очаги возникают зимой, в начале весны, в холодный период года.
Атипичная форма АЧС
Симптоматика варьируется у каждой конкретной инфицированной особи, что объясняется мутацией вируса. АЧС также может протекать в атипичной форме, при которой свиньи страдают от профузной диареи, переменной лихорадки. На ушках, хвостике, конечностях, пятачке, на теле заметны кровоподтеки. Животные слабеют, теряют вес, не набирают массу. Кожа покрыта морщинками, сильно уплотнена. Отчетливо проявляются признаки конъюнктивита, гастроэнтерита. Инфекция заканчивается летальным исходом, как правило, на третьи сутки после проявления первых симптомов. Смертность составляет 30-–65%.
Атипичную форму АЧС наиболее часто диагностируют у поросят-сосунов, которых рано отняли от свиноматки, у молодняка, который имел контакт с вирусоносителями или был инфицирован слабовирулентными штаммами вируса. При этом часть поросят выздоравливают без лечения. Остальные погибают или являются пожизненными вирусоносителями. Болезнь может быть осложнена вторичными инфекциями.
Профилактика и меры борьбы
Чем опасна африканская чума свиней вы уже поняли, но как с ней бороться? Прежде всего, нужно позаботиться о защите свиноводческого хозяйства от проникновения вируса.
Мертвых свиней, их навоз, остатки корма, предметы ухода сжигают. Золу рекомендуют закапать в яму и смешать её с известью. Помещения и территории ферм дезинфицируют горячим 3 % раствором едкого натра, 2 % раствором формальдегида. В периметре 10 км вокруг очага болезни всех свиней убивают, а мясо перерабатывают на консервы.
Карантин снимают через 40 дней с момента последнего случая падежа, а разведение свиней в неблагополучном пункте разрешается не ранее, чем через 40 дней после снятия карантина.
Поросят нужно покупать только при наличии документов, выданных ветеринаром, а после покупки выдерживать в зоне карантина некоторое время. Необходимо регулярно прививать поголовье от основных заболеваний и периодически устраивать ветеринарный осмотр.
Не привозите на ферму инвентарь без предварительной обработки. Помещения для содержания свиней и кормов должны регулярно дезинфицироваться. Свиньи не должны контактировать с домашними животными.
Покупать корм для свиней рекомендуется с благополучных территорий свободных от африканской чумы, а перед кормлением нужно проводить термообработку пищи. Все это может показаться сложно выполнимым, но только так вы защитите поголовье от смертельного вируса.
На законодательном уровне борьба с АЧС предполагает принятие ряда мер:
- Карантин фермерских хозяйств и целых сел, где обнаружена АЧС.
- Бескровный убой всех свиней в зоне вспышки, после чего туши сжигают на месте с кормом и инвентарем.
- Дезинфекция помещений, где содержались свиньи.
- Истребление бродячих животных, грызунов и насекомых в 10-километровом радиусе.
- В течение месяца строгий запрет на вывоз и продажу свиноводческой продукции за пределы района.
- Годичный запрет на разведение свиней в зоне карантина.
Не забывайте, метода лечения африканской чумы свиней не существует, поэтому ее нужно стараться предотвратить всеми возможными профилактическими методами. Помните, лечение скота запрещено.
Выводы
- Изучение вируса свиной чумы не завершено.
- Ведется активная разработка вакцины.
- Он безвреден для людей, но, как и любое другое заболевание, снижает защитные функции организма.
- Мутация вируса существенно увеличивает угрозу заражение людей.
- У человека, перенесшего тропическую лихорадку обнаруживается вирус АЧС, который провоцирует в организме развитие других серьезных заболевания.
- Для собственной безопасно нужно воздерживаться от контактов с зараженными животными.

Сегодня главным негативным последствием инфицирования свиней для экономики любой страны есть огромные финансовые потери, связанные с денежными расходами на уничтожение стад свиней и проведение санитарных и профилактических мероприятий.

Со странами, по которым прошлась африканская чума, разрываются контракты на поставку свежего мяса и на приобретение племенных пород.








